こんにちは早良区有田の次郎丸デンタルクリニック、受付・歯科助手のU.Kです🦷
先日ホワイトニングの継続をしました!
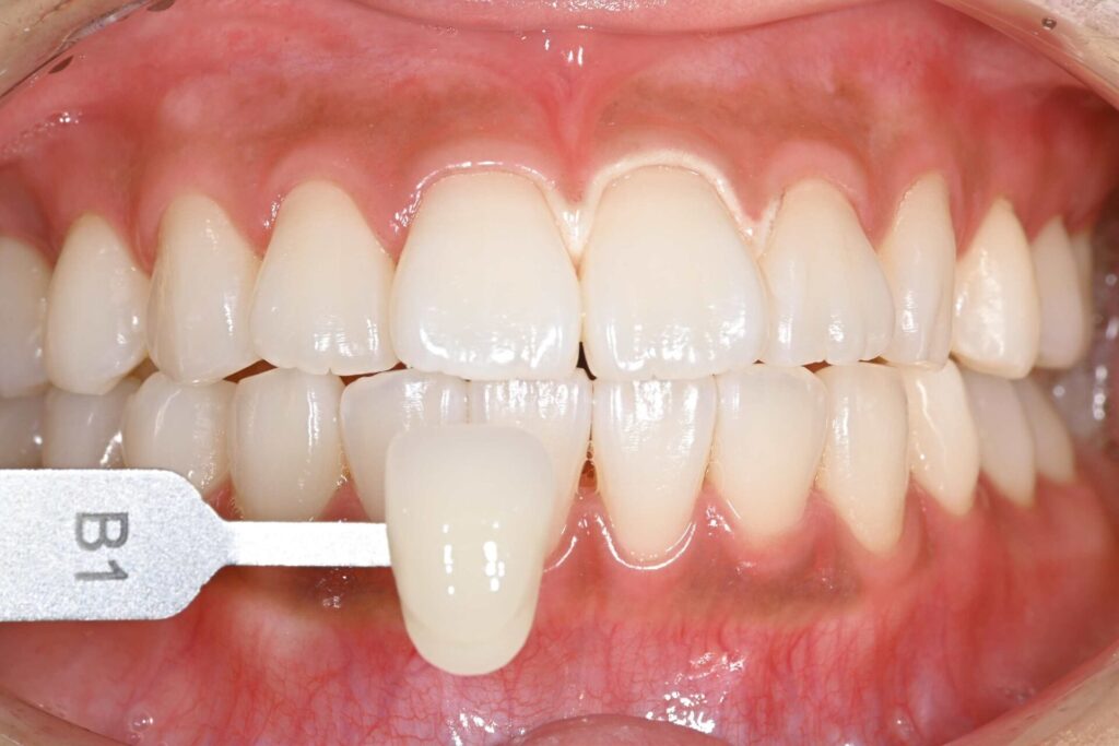
前回行ったのが9月でしたが、私の体感的には色戻りした感じは全くありませんでした。
また、当院が扱っているホワイトニングは食事制限がなく、コーヒー好きな私にとってとても嬉しいポイントです☕️
施術後すぐに普段通りの生活ができるのは、忙しい方や食事を楽しみたい方にもおすすめだと思います!
歯の白さは第一印象にも大きく影響するので、やっぱり定期的なメンテナンスは大切だなと感じました。
今後も続けていって、白さを維持していきたいと思います✨

